欢迎访问微众生物企业官网!
无忧 可视 专业 高效
知微见著 普惠于众
  南京微众生物科技有限公司是一家专业从事病理学研究及检测技术服务的高科技公司,现已搭建国际前沿的病理学研究技术平台,包括普通病理实验室、分子病理实验室、超微病理实验室以及科研技术服务平台。公司汇聚国内外深耕病理学研究领域数十载的专家团队,以标准化、系统化的项目管理流程,为制药企业、科研院所等客户提供专业的病理检测技术服务,助力生命健康领域从基础研究到产业化的加速转化。
专注病理检测技术
先进齐全的科研仪器
2000㎡研发平台
300+全国服务单位
关注客户 聚焦行业

2026-02-27
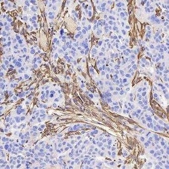
(一)实验目的利用抗原与抗体的特异性结合原理,检测组织中特定蛋白质的表达位置、表达强度,为病理分型、疾病诊断及预后评估提供分子水平依据。(二)实验材料1. 样本:已烤好的病理石蜡切片;2. 试剂:3%过氧化氢···

2026-02-24
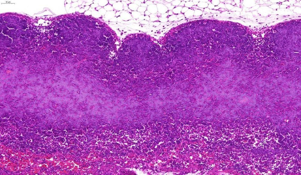
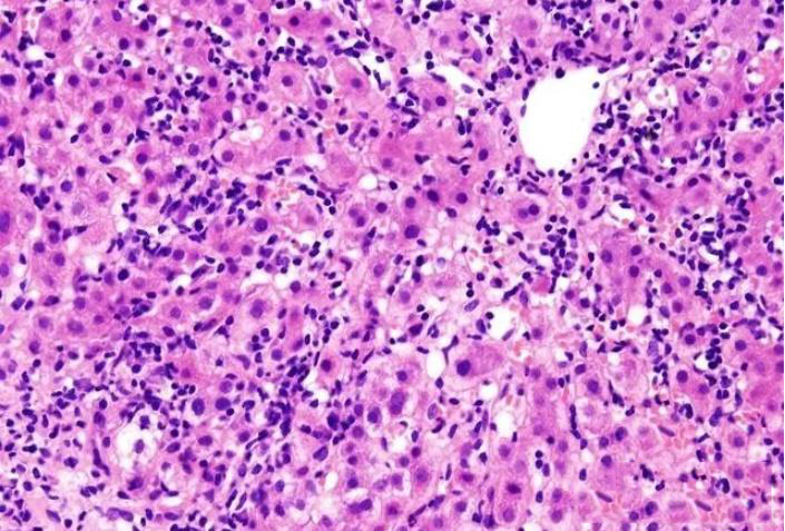
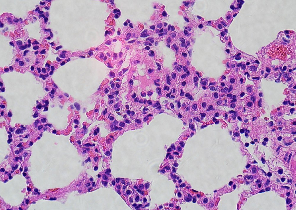
(一)实验目的通过苏木素(碱性染料)和伊红(酸性染料)对组织切片进行染色,使细胞核、细胞质呈现不同颜色,清晰显示组织细胞的形态结构、排列方式,为病理诊断提供基础依据。(二)实验材料1. 样本:已烤好的病理···

2026-02-21
(一)实验目的将新鲜组织标本制成薄而连续的石蜡切片,为HE染色、免疫组化等后续病理检测提供优质样本,便于显微镜下观察组织形态结构及病理变化。(二)实验材料1. 样本:新鲜动物组织或人体穿刺/手术标本;2. 试剂···

2026-02-18
1、取材:新鲜组织固定于10%中性福尔马林24h以上。将组织从固定液取出在通风橱内用手术刀将目的部位组织修平整,将修切好的组织放入写有对应编号的脱水盒内。2、脱水:将脱水盒放进吊篮里于脱水机内依次梯度酒精进行···